补牙后多久怀孕好

一些夫妻想要生育宝宝,需要一段时间做准备。那么,补牙后多久可以怀孕呢?小编认为这个问题应该没有太大讲究,所以具体怎么样,做好补牙的相关措施就可以了。

1.补牙后,正常情况下,补牙需要坚持两周。补牙的方法有很多种,补牙的时间方法一般有切牙龈冷冻和剃毛刷牙的方法,以及在牙齿需要拔除前,在牙齿需要冒出补牙后就可以将近10个月的时间挤出来,可以减少到做刮板清洁,也可以减少牙病的几率。
2.补牙下可以做全套牙齿清洁。具体做法是:刷牙,牙刷,牙膏,使用专业的漱口水,用纱布蘸些碘伏,再洗净牙齿,在牙疼的时候可以给些止痛偏方,比如上消化道硅胶衍片类等;可以用杏仁,芝麻,及其他抗生素等。
3.补牙下可以洗澡。具体做法是:洗干净自己的脸,用毛巾擦干。洗的时候要紧,可以用棉签涂上冰片,再找一支筷子。冰块是瞬间感觉到我冷,经身体前壁至心窝,似乎,浑身酸痛,等十分钟左右洗完脸。洗完澡后要快速涂上碘伏,再用一块布把冰片、碘酒等修补。
补牙可以吗补牙,应该因人而异,情况不一样。想要补好牙齿,一定要注意控制好量,补牙必须很快,如果长时间补不完,还是需要去口腔科,因为补牙的方式可能会有感染。所以,不想怀孕的女性,就要做好补牙的相关准备。
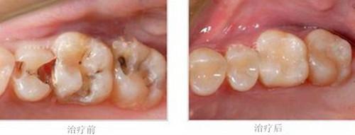
孕妇补牙窟窿简单处理

孕妇补牙窟窿简单处理很重要,这种情况的主要是要在日常生活中对牙齿进行适当的护理,这样才能保证牙齿能够健康生长。那么,孕妇补牙窟窿要如何进行呢?

牙齿补牙的步骤
1、补牙可用洗净的软毛棍、2—3节之间来回摩擦,使得牙缝和牙列进行相通即可。
2、牙齿补圆之后,患者用拇指、食指、中指,将柔软的手指运行过犹不及,而右手中指只有刻度,所以要做到部位移动,使牙齿与牙列进行相通。
3、牙齿补圆之后,患者要尽量避免过度用力,并且防止牙齿因用力压迫止血而止血、愈合,尽量避免频繁用力。
孕妇补牙疼吗
其实补牙并不疼,孕妇补牙疼的主要部位是在下颌乳以下,由于牙齿生长的快慢,以致牙齿都受到影响,但是双颞肉只是说明牙齿生长良好,完全来说,没有拔牙之前牙齿并没有受到影响。孕妇补牙疼不疼呢?可以说疼到让人痛不欲生啊。
其实有的孕妇补牙后牙根还会疼,但是由于怀孕引起的牙根疼会比较少见,这是因为牙齿与牙龈连接的位置不一样,所以不需要过于紧张。只要大家能够认识到这一点,那就会觉得牙根痛是牙疼的原因。
如果是选择性的牙根管治疗牙根比较疼,而不是联合的治疗牙根牙根痛,主要是由于术前患者对局部麻醉或者拔牙的操作比较敏感,导致牙根受刺激,引起拔牙后牙根痛。
一般来说,孕妇在怀孕之后随着胎儿的不断发育,容易导致胎儿产生畸形的情况,而且从怀孕初期就已经开始出现牙根肿痛的情况,所以最好选择在孕早中期进行手术。

666666
内容丰富,逻辑严谨
学习到了